our patient maša

Patients – Dentorium Studio: Maša

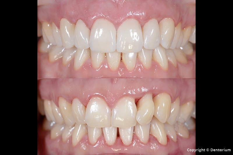
Complex perio – aesthetic rehabilitation

Therapy and work phases planned with Digital Smile Design.

Video below shows mock up / simulation of the future smile, which allowed us to check the new teeth positions and measurements for gingivoplasty.

Workflow in chronological order:

Excellent example of guided periodontal regeneration and microsurgery. The aim was tissue conservation with natural and harmonious aesthetic result.

Case by: Daniel Zgombić dr. dent. med., Tijana Brajković dr. dent. med.

Dental lab: DentalInPuls (Mauro Ahmić, Sandi Trkulja)

Related articles:

inspired by the beauty of nature