our patient iva

Patients – Dentorium Studio: Iva

Complex aesthetic rehabilitation

Guided therapy, with minimally invasive approach.

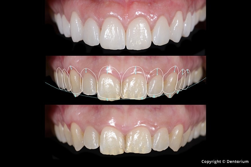
Case planned with Digital Smile Design. (Video below shows mock up, simmulation of the “new smile” before the beginning of therapy.)

With DSD we defined the shape and position of future teeth, and all work phases.

Natural feel of Iva's new smile, gave her face expression power of balance and harmony, with completly new aestehtic experience. In and out.

Case by: Daniel Zgombić dr. dent. med., Tijana Brajković dr. dent. med.

Dental lab: DentalInPuls (Mauro Ahmić, Sandi Trkulja)

After long time thinking about it, I have also decided to go with Digital Smile Design. And there was not a single ounce of doubt in selecting Dentorium team, as I knew an amazing result is in front of me.
But, no one could ever imagine that I will have so much fun too.
An amazing team, amazing service, amazing result... Thank you so much for giving me a smile that does not come off my face!

Iva

Related articles:

inspired by the beauty of nature