our patient Suzana V.

Patients – Dentorium Studio: Suzana V.

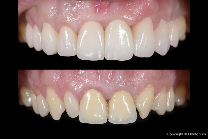
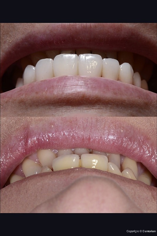
Complex functional - aesthetic rehabilitation

With Digital Smile Design we calculated exact measures for:

Treatment plan in chronological order:

  • Extraction of fractured tooth and immediate dental implant loading with temporary crown
  • Teeth whitening
  • Full ceramic crown on implant with individual zircon oxide abutment
  • Full ceramic crowns

With the loss of teeth in aesthetic zone (front), the biggest challenge is soft tissue conservation. Due to limitation of tissue resource, precise and predictable treatment plan is of great importance. Also, in Suzana’s case we had to restore the function, and as a consequence achieved aesthetic of the smile, as well.

Case by: Daniel Zgombić dr. dent. med. and Tijana Brajković dr. dent. med.

Technicians: DentalInPuls (Mauro Ahmić, Sandi Trkulja)

You know when you want something in life and you constantly postpone it and then you see beautiful photos oh happy patients and think to yourself, I want to have this beautiful smile. This is how my story with Dentorium dental studio started. From the beginning I started with the right feeling and immediately after the first visit, when dr. Daniel presented to me Digital Smile Design, I knew I came to the right place and right hands. Everything is how he promised it will be, beautiful teeth, wide smile and somehow new me.

Awesome team, dr. Tijana and Mia, and Ana, everyone made sure I was satisfied. Lots of laughter and encouragement, so for the moment you forget where you are. On the entrance you are greeted by always smiling and professional Martina, you can ask her million questions, thank you dear.

Dr. Daniel loves his job very much, dedicates fully to the patient and has a perfect eye for every detail leading you to the perfect smile. He would break through my fear telling jokes and interesting stories.

Pleasant ambient and always good music!!!

At the end, “my” Michaela, she is the ZEN of the studio, thank you for encouraging, inspiring and believing in me, and hugging me a lot!
TO ALL OF YOU THANK YOU SO VERY MUCH!!!

Suzana V.

Related articles:

inspired by the beauty of nature